Progressive Livewire

Progressive Livewire is a tool for image sequence segmentation. Our specific application was in segmenting the brain from MRI slice images. The advantage of our method is its high level of automation. The user needs only segment the first image, and segmentation of the rest of the image is automatically completed. Additionally, segmenting the first image of the sequence is aided by an optimum boundary finding routine based on the livewire algorithm [1].

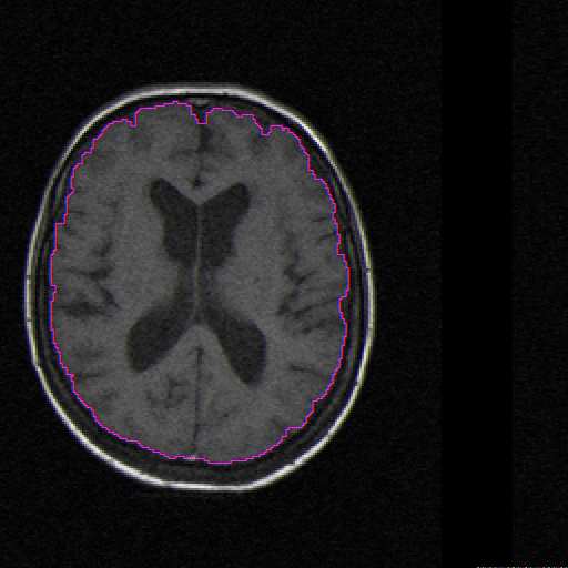
The Java applet below demonstrates the user interaction of the algorithm. To use it, click "Train" (or press "t") and paint (by dragging the mouse) a small portion of the correct boundary. Note that any boundary can be used, but the surface of the brain is typically the most dramatic. After painting a boundary region, a cost image will appear to the right of the MRI. The cost image is a representation of the actual cost function being used by the segmentation algorithm. Higher pixel intensities correspond to lower costs, so a good cost image will show the desired boundary in white and other image features in gray and black.

Once the alogrithm has been trained, simply click a point on the boundary and move the mouse. An optimal path connecting the initial point and the current location of the mouse pointer will be shown. As the mouse is moved, the boundary is updated. When a good partial boundary has been found, clicking the mouse will make this part of the boundary permanent and use the end of this boundary as the starting point for a new boundary segment. At any time choosing "Train" again will retrain the algorithm on the current boundary to refine the cost function.

After choosing a few points and coming back to the starting point, clicking "Close Contour" (or pressing "c") will complete the boundary by connecting it to the starting point again. Now a complete pixel-resolution region has been segmented. In the complete program, this stage would be followed by propogating the contour to more images until segmentation of the complete image sequence was finished.

Note that you can click "Reset" (or press "r") to reset the contour (but not the cost function) or "Switch Image" ("s") to toggle between two different brain images.

NOTE: This applet may not display properly in Netscape or similar browsers, but works fine in Internet Explorer. If you know the reason for this, I'd be delighted to hear it.

More information about the algorithm and its implementation.

[1] A. Falcao, J. Udupa, S. Samarasekera, and S. Sharma. User-steered image segmentation paradigms: Livewire and livelane. Graphical Models and Image Processing, 60:233-260, 1998.